史记泰州

 找回密码
 立即注册

微信登录

微信扫一扫,快速登录

搜索
热搜: 活动 交友 discuz
查看: 417|回复: 0

原以为要截肢,介入疏通为八旬老人双腿成功“续命”

[复制链接]

958

主题

-5

回帖

7870

积分

论坛元老

Rank: 8Rank: 8

积分
7870
发表于 8 小时前 | 显示全部楼层 |阅读模式
对于动脉血栓患者来说,时间就是肢体,时间就是生命。一位88岁的高龄患者,在短短一个月内接连遭遇左、右下肢动脉急性栓塞,我院急诊、介入科高效协作、快速反应,成功为其保住双腿,避免截肢。

71188fc1c2910715e498f33419a9245d.png
一个月前,孙奶奶(化名)因左下肢动脉急性栓塞行急诊介入治疗,血管再通,好转出院。随之没多久,4月12日,危险再次突然降临,她的右下肢突然剧烈疼痛麻木,皮肤变得苍白,摸上去冰凉,家人见状赶紧将她送到我院。接诊的急诊科徐世奇医生迅速查体、问诊,结合孙奶奶的病史和典型症状,高度怀疑是急性右下肢动脉栓塞。这种疾病如果处理不及时,肢体缺血坏死,截肢率极高。

f88ae5e99cb6654404e7380787034932.png

“快,马上做超声!”医护人员一路小跑陪同检查。超声结果很快传来:右侧股动脉、股浅动脉闭塞。急性动脉栓塞的黄金救治窗口以小时计算,每一分钟都在考验团队的速度。

1779b4ef994159e8de709531b945ef24.jpeg

(右侧股总动脉栓塞)

“马上启动多学科协作!”急诊科立即联系介入及脑血管病科薄进保主任。医护团队在最短时间内完成术前准备,患者从急诊室直接推入介入手术室,全程无缝衔接。急诊科护士寸步不离,密切监测心率、血压、血氧;介入团队早已就位,薄主任为孙奶奶实施右下肢动脉血栓取栓术
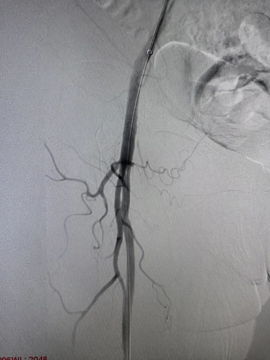
a0a1e537118f198eda9331c83e1efd2a.jpeg 5a665816715e62930adbc5c389d5b167.jpeg

(介入术后闭塞的血管完全再通)

两个小时后,手术顺利完成。孙奶奶右下肢的皮温、皮色即刻改善,足背动脉搏动恢复,疼痛麻木消失。从入院到血运重建,全程高效顺畅,没有浪费一分一秒。
术后查房时,孙奶奶拉着薄主任的手说:“一月前左腿出事,我害怕得不行。这次右腿又出问题,我第一时间就选择来这儿。因为我相信,你们能再一次保住我的腿。”朴实的话语,是对我院医护人员最大的肯定。争分夺秒,守护每一份信任。

6d35fbfa9023edf912d141dcc8f7bfe0.png 什么是急性下肢动脉栓塞
简单来说,就是心脏或其他部位的血栓突然脱落,随血流“冲”到下肢动脉并卡住,导致腿部血液供应中断。由于肌肉和神经对缺血极其敏感,应以最快时间治疗,挽救濒临坏死的下肢,预防截肢!
6d218bff8d21481ff395a779a0a305af.png

哪些人最容易中招
房颤患者:心房颤动时,心脏内易形成血栓,一旦脱落极易引发动脉栓塞;
长期吸烟者:烟草损伤血管内皮,加速动脉硬化,促进血栓形成;
有心脏病史者:如心梗、瓣膜病、人工瓣膜等;
高血脂、高血压、糖尿病人群:血管基础差,更易“出事”。

日常如何防范
◆ 若有房颤,务必遵医嘱规范抗凝治疗,切勿自行停药;
◆ 戒烟限酒,控制“三高”,保护血管健康;
◆ 适度运动,促进血液循环,避免久坐久站;
◆ 定期体检,尤其关注心电图和下肢血管超声。
急性下肢动脉栓塞虽凶险,但只要识别早、送医快、治疗准,完全有机会保住肢体、恢复功能。
一旦出现以下“5P”征象,请立即就医:


疼痛(Pain):肢体突发剧烈疼痛;

苍白(Pallor):皮肤颜色变白或发紫;

无脉(Pulselessness):足背动脉搏动消失;

感觉异常(Paresthesia):肢体麻木、迟钝;

运动障碍(Paralysis):脚趾或脚踝不能活动。



专家介绍

2cbc7c827ecc98795ed4330275cdf4ba.png
a87e2b45339b3137d5dbd82d01f6ab36.jpeg

薄进保

泰州市中医院介入科主任兼脑血管病科主任,神经介入专业学科带头人,从事介入工作十余年,以神经介入工作为主。熟练掌握除心脏以外血管及非血管介入诊断及治疗,包括外周血管介入、肿瘤介入及神经介入等,尤其擅长神经介入,包括颅内外支架置入术、颅内急性大血管闭塞脑梗死机械取栓术、颅内动脉瘤栓塞术及TCD\TCCD在神经系统的应用等等,十年累积神经介入手术量2000余例,年神经介入治疗100余例。

fd3f2c807a99f329638a96d18287ef6b.jpeg

徐世奇

副主任医师,从事急诊医学临床工作18年,具备丰富的急危重症救治经验。擅长各类急性中毒、休克、心脑血管急症及多器官功能衰竭的早期识别与综合抢救。熟练掌握心肺复苏、气道管理、深静脉穿刺、床旁超声快速评估等急救技能。在工作中注重团队协作与急救流程优化,长期参与科室教学与急危重症质控管理。



来源:医务处
编辑(一审):彭德熹
核稿(二审):秦后权 张俊
签发(三审):晓军


回复

使用道具 举报

您需要登录后才可以回帖 登录 | 立即注册 微信登录

本版积分规则

Archiver|手机版|小黑屋|史记泰州

GMT+8, 2026-4-17 18:25 , Processed in 0.089893 second(s), 26 queries .

Powered by Discuz! X3.4

© 2001-2023 Discuz! Team.

快速回复 返回顶部 返回列表